(973) 834-6910 Appointment

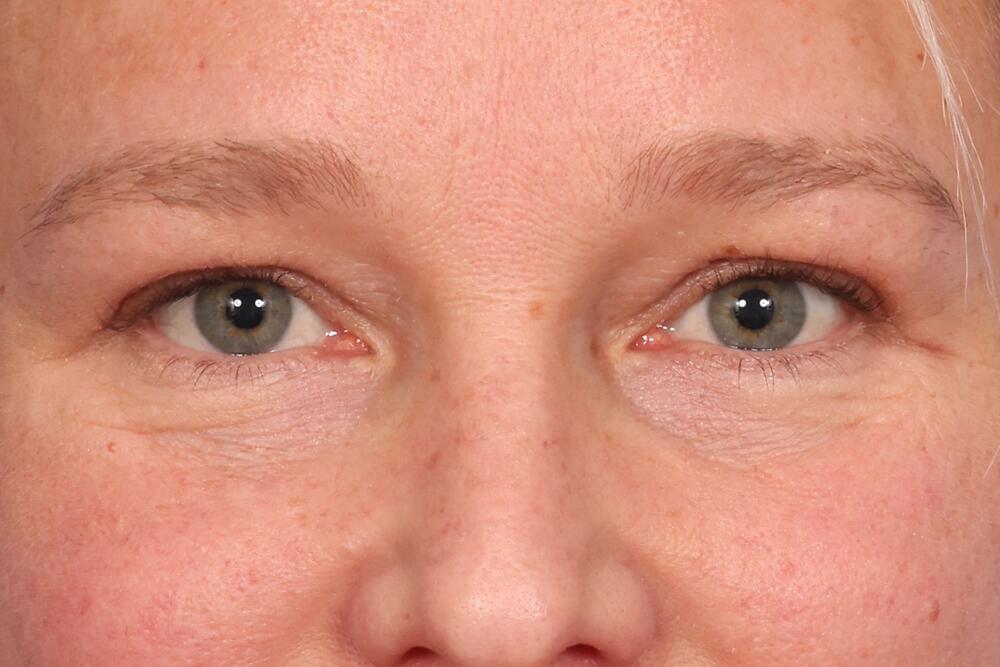
Eyelid Surgery GalleryPlastic Surgery in Montclair

Featured on 2020 America’s Best Doctor List by America’s Best and Findatopdoc.com

Dr. Trovato - New Jersey Plastic Surgeon Dr. Trovato - New Jersey Plastic Surgeon

New Jersey Plastic Surgery 29 Park St, Montclair, NJ 07042

Our New Jersey Plastic Surgery cosmetic specialists are ready to help you achieve your aesthetic goals with the most advanced treatments the cosmetic industry has to offer. Contact us today to take your first step toward a more beautiful you.

By submitting this you agree to be contacted by New Jersey Plastic Surgery via text, call or email. Standard rates may apply. For more details, read our Privacy Policy.